Ultrastructural Effects of Matricharia chamomella Extracts on Cuticle of 3rd Larval Instar of Culex quinquiefasciatus 
Author
Correspondence author
Journal of Mosquito Research, 2013, Vol. 3, No. 10 doi: 10.5376/jmr.2013.03.0010
Received: 26 Mar., 2013 Accepted: 03 Apr., 2013 Published: 08 Jul., 2013
Areej Abdulkareem Alkhalaf, 2013, Ultrastructural Effects of Matricharia chamomella Extracts on Cuticle of 3rd Larval Instar of Culex quinquiefasciatus, Journal of Mosquito Research, Vol.3, No.10 71-75 (doi: 10.5376/jmr.2013.03.0010)
The present study aimed to estimate the effect of botanical extracts on the cuticle of the 3rd larval instar of Cx. quienqufasciatus, by using the LC50 of the methanol extract of Matricharia chamomella for periods of 6 hours,12 hours, 24 hours and 48 hours. The ultrastructural studies on the cuticle indicated that the larva were affected according the time elapse after exposure to the LC50 of the extracts, these effects appeared in separating epicuticle from cuticle, then the spaces between the epicuticle and exocuticle were increased after 12 hours.
Introduction
Culex quinquefasciatus is one of the most important pests medically because it transmits diseases to mankind and animals (Goddard et al., 2003; Zinser et al., 2004).
Insects have become the most diverse and numerous animal groups partly because of the evolution of a multifunctional integument, which provides for growth, mobility, protection and communication (Kramer et al., 1988).
Insect cuticle is a highly adaptive material that fulfils a wide spectrum of different functions. Cuticle does not only build the exoskeleton with diverse moveable parts but is also an important component of a stunning variety of mechanosensory receptors. Therefore, the mechanical properties of these specialized cuticular systems are of crucial importance (Müller et al., 2008).
The insect cuticle is a bio composite material with a remarkable range of physical properties. Insect cuticles can be flexible or rigid; ductile or hard, porous or impermeable. An insect cuticle is composed of chitin nanofibers, proteins, water, and polyphenols along with trace amounts of metals, lipids and waxes (Gorb, 2001).
In view of the dangerous diseases transmitted by mosquitoes, efforts exerted to control them. Medically and veterinary, mosquitoes control became an important issue all over world. Botanical insecticides are from the promising material (Gorb, 2001).
The effectiveness of insecticide mosquito larvae from plant extracts led to the exploitation of different types of plants to control mosquitoes in communities in different parts of the world by a number of researchers (Pathak et al., 2000; Sun et al., 2001; Singh et al., 2002 and 2006; Sivagnanaame and Kalyanasundaram, 2004; Obomanu et al., 2006). The fine structure and the distribution of an esterase have been studied in the cuticle of Culex quinquefasciatus larvae. The present study aimed to describe the cuticle surface of the 3rd larval instar of Cx. quienqufasciatus, to consider it from a mechanistic point of view, and to discuss potential consequences of the integument surface in the predator-prey relationships by using the LC50 of the methanol extract of Matricharia chamomella has been identified in the present study alone for periods of 6 hours, 12 hours, 24 hours and 48 hours.
1 Results and Discussion
Insect exoskeletons, called cuticles, can stop chemical and physical attack while also providing structure for the insect's muscles and wings. The remarkable material is very thin and has a low density. It can also vary its properties, from rigid along the insect's body segments and wings to elastic along its limb joints. Insect cuticle is a composite made up of layers of chitin, which is a polysaccharide polymer, and protein organized in a laminar, plywood-like structure. Mechanical and chemical interactions between these materials provide the exoskeleton with unique mechanical and chemical properties. The cuticle consists of a relatively soft and colourless endocuticle, hardened and darkened in its outer part in some places to form a rigid exocuticle, and a complex epicuticle made up of several layers.
Development of resistance among target insects and concern for environmental pollution limit the use of chemical insecticides. Biological control is an important component of integrated vector control strategy and is being practiced in many countries to control mosquitoes (Fraenkel and Rudall, 1940; Vincent and Ablett, 1988). However, biocontrol agents effective against adult mosquitoes are limited, and hence chemicals are being used for indoor residual spray. Mosquito control is very necessary by discovering new way to prevent its distribution by using botanical extract. The first organ face the botanical is the body wall or exoskeleton which it is very rigid. The botanical extracts work in broken this power by sequences changes gradually according to the time.
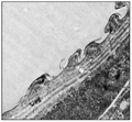
Figure 1 shows the that the effect of extract was slightly appear after 6 hours by separating Ep from cuticle; maybe because it is the first barrier faces the extract from outside insect body, the Endocuticle and Epidermis are not affected.
Figure 1 Treated larva cuticle after 6 hours |
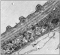
After 12 hours, the penetrate of extract material take it way through the cuticle layers causing interruption of structure form of it, and the spaces between the Ep and Ex were increased (Figure 2). Because it is lethal to mosquito larvae, which its body wall contact the water, the activity is by cuticular contact. Al-Mehmadi and Al-Khalaf (2010) also found activity by stomach poisoning.
Figure 2 After 12 hours of treating |
After 24 hours, the result shows the effective basement membrane which was split from the epithelium (Figure 3; Figure 4).
Figure 3 After 24 hours of treating |
Figure 4 After 24 hours of treating |
After 24 hours (Figure 5) the epidermis structure beginning in disruption by separating of basement membrane from the cell line, or from epidermis cell layer.
Figure 5 After 24 hours of treating |
By increasing time of expose period (48 hours, Figure 6 and Figure 7) the effect of treatment reach its higher rate causing damage in cell layer with interruption and the cuticle space decrease with big change in the structure of it shown in its different appearance from control one (the surface of cuticle being edges, sub cuticle disappeared, separate of En from Ep). These dramatic-ally changes causing abnormal state of insect life. Insect cuticle remains the second most widely distributed material (the first is plant cell wall and wood). Under experimental conditions the cuticle can be shown to be extremely sensitive to water content, suggesting that an important source of stabilization is H-bonding (Vincent and Ablett, 1988).
Figure 6 After 48 hours of treating |
Figure 7 After 48 hours of treating |
2 Materials and Methods
Histological study of the cuticle of the third larval instar of Cx. quinquefasciatus.
Lotions and dyes used in the preparation of electron microscopy samples.
2.1 0.1 M Na-cacodylate buffer (Glauert, 1991)
Solution (a): Dissolve 21.4 grams of in liters of distilled water.
Solution (b): Add 8.5 mL of concentrated hydrochloric acid in a liter of distilled water.
Add 500 mL of solution (a) to 41.5 mL of solution (b) and adjust the pH at 7.2.
2.2 Prepare glutaraldehyde 3% (Hayat, 1970)
Add 12 mL of glutaraldehyde concentration of 25% to 88 mL Organizer 0.1 Molar sodium cacodylate record according to the previous method.
2.3 Prepare osmium tetroxide 1%
Prepare 1% of the fourth osmium oxide Osmium tetroxide 1%. Melt 1 gram of crystals fourth osmium oxide in 100 mL of solution Organizer 0.1 Molar sodium cacodylate record according to the previous method.
2.4 Toluidine blue (Bancroft and Steven, 1982)
1. Dissolve 1 gram of borax (Sodium tetra borate) in 100 cm3 of distilled water.
2. Add 1 gram of Toluidine blue with continuous stirring.
3. Filter the dye before use.
2.5 Uranyl acetate (Bozzola and Russel, 1992)
1. Dissolve 2 grams of powder uranyl acetate in 100 cm3 of distilled water.
2. The solution is shaken until smooth and kept in a dark bottle.
2.6 Lead citrate (Reynold, 1963)
1. Dissolve 1.33 of lead nitrate (Lead nitrate) and 1.76 grams of distilled water into a glass beaker.
2. Shak the flask well for one minute the turbidity severe white where consists.
2.7 Continued shaking (once every five minutes during half-hour)
1. Add to the flask 8 cm3 of (1 N Sodium hydroxide) free of carbonates with shake.
2. A size until 50 cm3 and add distilled water.
3. A good solution is filtered before use. It can be saved at room temperature for a period of six months of preparation.
2.8 Resin material
Following materials were used in the preparation of this plastic material:
Landfill Resin: SPI-EPON 812, 10 g; Araldite 502, 10 g; DDSA (Dodecenyl Succinc Anhydrite), 24 g; DMP-30 (Dimethyl almmo methyl phenol), 0.7 g. All of this materials are shaking well before using, all of them from SPI-CHEM, USA Company.
It has been prepared at electron microscope Research Center at King Saud University.
References
Al-Mehmadi R.M., and Alkhalaf A.A., 2010, Larvicidal and histological effects of Melia azedarach extract on Culex quinquefasciatus Say larvae (Diptera: Culicidae), Journal of King Saud University (Science), 22(2): 77-85
http://dx.doi.org/10.1016/j.jksus.2010.02.004
Bancroft J.D., and Stevens A., eds., 1982, Theory and practice of histological techniques, 2nd Edition, Churchill Livingstone, UM, pp.615
Bozzola J.J., and Russell L.D., eds., 1992, Electron microscopy, Jones and Bartlett Publishers, Boston, USA, pp.79-80
Fraenkel G., and Rudall K.M., 1940, A study of the physical and chemical properties of the insect cuticle, Proc. R. Soc. Lond. (Series B), 129(854): 1-35
http://dx.doi.org/10.1098/rspb.1940.0027
Glauert A.M., 1991, Epoxy resins: an update on their selection and use, Mic. Anal., 25: 15-20
Goddard L.B., Roth A.E., Reisen W.K., and Scott T.W., 2003, Vertical transmission of west nile virus by three california Culex (Diptera: Culicidae) species, J. of Medical Entomology, 40(6): 743-746
http://dx.doi.org/10.1603/0022-2585-40.6.743 PMid:14765647
Gorb S., ed., 2001, Attachment devices of the insect cuticle, Kluwer Academic Publishers, The Netherlands, pp.101-122
Hayat M.A., 1970, ed., Principles and techniques of electron microscopy, Vol. 1, Biological Applications, Van Nostrand Reinhold Company, pp.339
Kramer K.J., Hopkins T., and Schaefer J., 1988, Insect cuticle structure and metabolism, In: Hedin P.A., Menn J.J., and Hollingworth R.M. (eds.), Biotechnology for Crop Protection (Acs Symposium Series, 379), American Chemical Society, Washington, DC, pp.160-185
Müller M., Olek M., Giersig M., and Schmitz H., 2008, Micromechanical properties of consecutive layers in specialized insect cuticle: the gula of Pachnoda marginata (Coleoptera, Scarabaeidae) and the infrared sensilla of Melanophila acuminata (Coleoptera, Buprestidae), J. Exp. Biol., 211(Pt16): 2576-2583
http://dx.doi.org/10.1242/jeb.020164 PMid:18689411
Obomanu F.G., Ogbalu O.K., Gabriel U.U., Fekarurhobo G.K., and Adediran B.I., 2006, Larvicidal properties of Lepidagathis alopecuroides and Azadirachta indica on Anopheles gambiae and Culex quinquefasciatus, Afr. J. Biotechnol., 5(9): 761-765
Pathak N., Mittal P.K., Singh O.P., Sagar D.V., and Vasudevan P., 2000, Larvicidal action of essential oils from plants against the vector mosquitoes Anopheles stephensi (Liston), Culex quinquefasciatus (Say) and Aedes aegypti (L.), Int. Pest Cont., 42(2): 53-58
Reynold E.S., 1963, The use of lead citrate at high pH as on electron-opaque stain in electron microscopy, J. Cell Biol., 17: 208-212
http://dx.doi.org/10.1083/jcb.17.1.208
Singh R.K., Dhiman R.C., and Mittal P.K., 2006, Mosquito larvicidal properties of Momordica charantia Linn (Family: Cucurbitaceae), J. Vect. Borne. Dis., 43(2): 88-91
PMid:16967822
Singh S.P., Raghavendra K., Singh R.K., and Subbarao S.K., 2002, Studies on larvicidal properties of leaf extract of Solanum nigrum Linn (Family: Solanaceae), Curr. Sci., 81: 1529-1536
Sivagnanaame N., and Kalyanasundaram M., 2004, Laboratory evaluation of methanolic extract of Atlantia monophylla (Family: Rutaceae) against immature stages of mosquitoes and non-target organisms, Mem. Inst. Oswaldo Cruz, 99(1): 115-118
http://dx.doi.org/10.1590/S0074-02762004000100021
Sun R., Sacalis J.N., Chin C.K., and Still C.C., 2001, Bioactive aromatic compounds from leaves and stems of Vanilla fragrans, J. Agric. Food Chem., 49(11): 5161-5164
http://dx.doi.org/10.1021/jf010425k PMid:11714297
Vincent J.F.V., and Ablett S., 1988, Hydration and tanning in insect cuticle, J. Insect Physiol., 33(12): 973-979
http://dx.doi.org/10.1016/0022-1910(87)90010-2
Zinser M., Ramberg F., and Willot E., 2004, Scientific Note: Culex quinquefasciatus (Diptera: Culicidae) as a potential west nile virus vector in Tucson, Arizona: Blood meal analysis indicates feeding on both humans and birds, J. of Insect Science, 4: 20
PMid:15861236 PMCid:528880
. PDF(1647KB)
. FPDF(win)
. HTML
. Online fPDF
Associated material
. Readers' comments
Other articles by authors
. Areej Abdulkareem Alkhalaf
Related articles
. Mosquito
. Matricharia chamomella
. Culex quinquefasciatus
. Ultrastructural
Tools
. Email to a friend
. Post a comment
.png)
.png)
.png)
.png)
.png)
.png)
.png)